Agilent introduces verified dissolution components

Agilent Technologies on May 20, 2013, introduced a new series of verif...

May 20, 2013 | Monday | News
Medtronic acquires Heartware International for $1.1 bn

Medtronic and HeartWare International,announced that the companies hav...

June 28, 2016 | Tuesday | News
Significant shifts in skill sets for top IT roles in Life Sciences

More than 80 percent of leading life sciences companies have created n...

June 7, 2016 | Tuesday | Features
ICGEB scientist wins Infosys Prize 2015

In its 7th year now, the coveted prize this year in Life Sciences was ...

November 16, 2015 | Monday | News
India's medical devices market will hit $17.6 bn by 2020: GlobalData

The medical devices space in India will see impressive expansion, risi...

February 23, 2016 | Tuesday | News
Triumph of high precision parallel bioreactors over conventional systems in process monitoring and optimization

The Biopharma industry is growing steadily at a significant pace and s...

May 13, 2016 | Friday | Views
Home healthcare market worth $349.8 bn by 2020

According to a new market research report by MarketsandMarkets, the gl...

September 24, 2015 | Thursday | Features
Lambda appointed new president

Lambda Therapeutic Research announces the joining of Dr Tausif Monif a...

April 18, 2016 | Monday | News
Big Data, Big Challenges

Our ability to make simultaneous measurements on several tens of thous...

February 4, 2013 | Monday | Views
Wearables and Big Data in Healthcare

The Society for Clinical Data management announced its 2nd conference ...

February 4, 2016 | Thursday | News
ICON to acquire Clinical Research Management

ICON has announced that it has agreed, subject to certain customary cl...

July 4, 2016 | Monday | News
Medtronic launches treatment for overactive bladder

Medtronic has announced the launch of its NURO System that delivers pe...

March 31, 2016 | Thursday | News
HP deploys virtual health platform for rural India

The World Health Organization (WHO) predicts that by 2020, mental illn...

June 3, 2013 | Monday | News
APAC market to offer huge opportunities in Cell Analysis

Cell analysis plays a major role in gene identification, protein ident...

March 15, 2016 | Tuesday | Features
Industry leader named to head PPD's central laboratory

Pharmaceutical Product Development, LLC (PPD) today announced that Mr ...

April 14, 2016 | Thursday | News
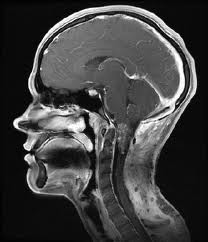
MRI systems market value to double by $9.2 billion by 2020

The company's latest report states that this impressive growth will be...

January 27, 2015 | Tuesday | News
India's Tryst with Green Technologies

India ranks ninth overall on Ernst and Young LLP's most recent renewab...

May 8, 2015 | Friday | Features
Siemens Healthineers-new brand for Siemens' healthcare business

It is unique and bold and best describes the Healthcare organization a...

May 9, 2016 | Monday | News

Have an Account?

Forgot your password?

First Name should not be empty!

Last Name should not be empty!

Email address should not be empty!

Show Password should not be empty!

Show Confirm Password should not be empty!

Newsletter

E-magazine

Biospectrum Infomercial

Bio Resource

I accept the terms & conditions & Privacy policy